
当您为宝宝的胎儿心脏超声结果紧张时
是否想过自己的心脏
也同样面临孕期的考验?
在守护新生命的同时
准妈妈的心脏健康
需要“双管齐下”
它们一起构成了母婴平安的“双保险”
......
今天小美整理了关于成人和胎儿心脏彩超
几个核心问题,带您一次了解清楚
咨询电话预约
400-8925-333
什么是成人心脏彩超?
在妊娠期孕妇的心血管系统会发生很大变化,母体的总血容量较非妊娠期增加,血容量一般自妊娠第6周开始增加,32~34周达高峰,较妊娠前增加30%~45%,此后会维持在一个较高的水平,血容量的增加会引起心排出量的增加,心率加快,部分孕妇会有心慌、气短等不适。

成人心脏彩超检查的意义?
心脏彩超是心脏疾病筛查的一项重要的影像学手段,是利用超声技术检查心脏和大血管的结构,探查心脏和大血管内血流,并评估心脏功能的一种无创伤性检查手段。具有无创、方便、安全、可反复进行等特点,是心血管疾病评估的重要手段与检查方法。

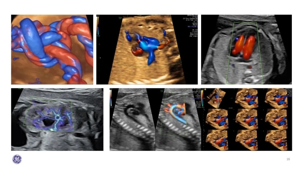
什么是胎儿心脏超声?
通过胎儿心脏超声检查,一方面,可早期识别那些复杂、严重的先心病,减少对家庭和社会造成的不利影响,实现优生优育;另一方面,可以早期诊断可矫治的先心病,有利于及时干预和合理咨询,让患病宝宝早诊断、早治疗。这两种超声一起形成了母婴双筛查策略。

做了心电图
为什么还要做心脏彩超?
它们是不一样的,不能代替。打个比方,如果把心脏比喻成一间房子,心电图的作用是检查这个房子的电路通不通,而心脏彩超的作用是检查房子的结构和功能有无异常。心电图和心脏彩超一起才能比较全面的评估一个人心脏到底有没有问题。

哪些孕妈需要做胎儿心脏超声?
1.母体危险因素
孕妇患有妊娠前糖尿病、苯丙酮尿症、自身免疫性疾病(尤其是SSA/SSB阳性),孕期感染风疹,一级亲属有先心病家族史,通过体外受精技术受孕,服用过可能致畸的药物等。
2.胎儿危险因素
胎儿水肿、心外畸形、染色体异常、单绒毛膜双胎、颈项透明层≥3.0mm等。
3.其他产检结果提示心脏异常
无论是否存在其他危险因素,若产科筛查怀疑心脏异常,均需行胎儿心脏超声检查。
咨询电话
400-8925-333

心脏彩超检查小贴士
1. 无需禁食,如果有特殊说明的检查记得要空腹;
2. 做心脏超声检查,着轻松、方便穿脱的衣服;
3. 放松心情,配合医生指导深呼吸保持平静。
产检时进行心脏彩超检查以了解心脏是否出现异常情况进而评估在分娩期和产后心脏能否承受最大负荷的挑战从而最大程度地保障分娩的安全
扫码预约

电话预约
400-8925-333





//近期优惠:





以上为商业推广,有任何问题请与我们联系。
